Примерное время чтения: меньше минуты
145

Красноярку с редким заболеванием Уилки прооперировали хирурги 20-й больницы

Красноярск, 8 апреля - АиФ-Красноярск.

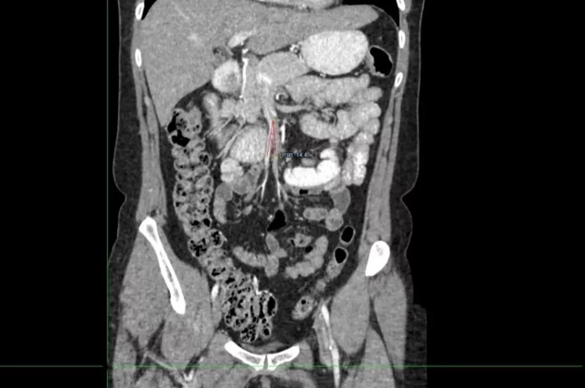
49-летняя красноярка долгое время страдала от редкого синдрома Уилки. Женщина не могла полноценно есть и из-за этого сильно похудела. Известно о не более 500 случаях этого заболевания. 

Помочь пациентке взялись врачи хирургического отделения № 3 Красноярской межрайонной клинической больницы № 20 им И.С. Берзона. Хирурги провели манипуляции щадящим методом. Операция длилась три часа. После операции на третьи сутки женщина почувствовала облегчение и начала есть самостоятельно. Сейчас пациентка восстанавливается дома.

Оцените материал
Оставить комментарий (0)
Подписывайтесь на АиФ в  max MAX

Также вам может быть интересно


Топ читаемых

Самое интересное в регионах